• まくわクリニック
  • スマイルデイまくわ
  • 整形外科

  • 腰の症状・疾患(腰椎)

    腰痛症(ぎっくり腰・慢性腰痛)

      概要

      腰の筋肉や靭帯、関節に過度な負担がかかることで起こる痛みです。
      はっきりとした原因がなくても、疲労や姿勢不良、ストレス、冷えなどが重なって腰痛が生じることがあります。

      主な症状

      急に腰が抜けたような激痛(ぎっくり腰)
      長時間の立ち仕事・デスクワーク後の腰の重だるさ
      朝起きたときや寒い時期に腰が痛む
      慢性的に腰が痛いが、病院では異常がないと言われた

      治療方法

      エコーで筋肉や関節の炎症を確認し、ハイドロリリース(筋膜リリース)やリハビリを行います。再発防止のための運動療法や姿勢指導、骨盤まわりの安定性を高めるトレーニングも重要です。慢性腰痛の場合、心因性要素や生活習慣の見直しも必要です。

      よくあるご質問

      Q1. ぎっくり腰になったときは、安静にした方がいいですか?
      A. 強い痛みがあるうちは無理をせず、可能な範囲で安静にすることが大切です。ただし、ずっと寝たままでいると回復が遅れることもあるため、痛みが落ち着いたら、徐々に動かすようにしましょう。

      Q2. 慢性的な腰痛で、病院では「異常なし」と言われましたが、治療できますか?
      A. はい。画像で明らかな異常がなくても、筋肉や関節、姿勢のアンバランスなどが原因で腰痛が起こることがあります。エコーや触診で状態を確認し、リハビリや姿勢改善で症状の緩和を目指します。

      Q3. 腰痛を繰り返さないために何をすればいいですか?
      A. 骨盤まわりの筋力を強化したり、日常の姿勢や動作を見直すことが大切です。当院では運動療法や体幹トレーニング、ストレッチなど、再発予防のサポートも行っています。

      文責・監修 金田 卓也
    腰痛症

    腰椎椎間板ヘルニア

      概要

      背骨の間にあるクッション「椎間板」が飛び出して、神経を圧迫することで痛みやしびれを引き起こす疾患です。
      若年から中年層に多く、重い物を持ったり中腰で作業する方に多い傾向があります。

      主な症状

      腰からお尻、太もも、足先にかけての痛みやしびれ
      前かがみになると痛みが悪化
      咳やくしゃみで腰に響く
      足の感覚が鈍くなったり力が入りにくくなる

      治療方法

      MRI等の画像診断で評価します。保存療法が基本で、消炎鎮痛薬、神経ブロック注射、リハビリを行います。
      症状が強く日常生活に支障がある場合は、専門病院と連携して手術の相談も可能です。

      よくあるご質問

      Q1. 腰から足にかけてしびれがあります。ヘルニアでしょうか?
      A. ヘルニアの可能性がありますが、他の病気との区別も必要です。MRIなどで神経の圧迫状態を確認し、正確な診断を行います。

      Q2. ヘルニアと診断されたらすぐ手術になりますか?
      A. 多くの場合、薬やリハビリ、神経ブロックなどの保存療法で改善が期待できます。症状が強く日常生活に支障がある場合は、専門医と相談のうえ手術を検討します。

      Q3. リハビリではどんなことをしますか?
      A. 痛みを悪化させない範囲で、体幹の安定性を高める運動や姿勢の改善を行います。症状の段階に合わせて、無理なく取り組んでいただけます。

      文責・監修 金田 卓也
    腰椎椎間板ヘルニア

    腰部脊柱管狭窄症

      概要

      加齢に伴い背骨の中を通る神経のトンネル(脊柱管)が狭くなり神経が圧迫されて痛みやしびれを引き起こす疾患です。
      中高年に多く、歩くと足が痛む・しびれるが、少し休むと回復するという特徴的な症状があります。

      主な症状

      腰から足にかけてのしびれやだるさ
      歩いていると足がつらくなるが、前かがみで休むと楽になる(間欠性跛行)
      長時間の立ち仕事・家事で足が重くなる
      足の感覚低下や、排尿障害を伴うこともある

      治療方法

      初期はリハビリや神経周囲のブロック注射、内服治療で症状を軽減します。脊柱管内の血流や神経の滑走性を改善するリハビリを重視し、体幹筋の強化と歩行機能の維持を目指します。(除圧術など)も選択肢となります。

      よくあるご質問

      Q1. 腰から足にかけてしびれがあります。ヘルニアでしょうか?
      A. はい。これは「間欠性跛行」と呼ばれ、腰部脊柱管狭窄症に多く見られる症状です。神経の通り道が狭くなり、血流が悪くなることで起こります。

      Q2. 手術をしないと治らないのですか?
      A. 初期であれば、内服や注射、リハビリによる保存療法で症状の緩和が期待できます。症状が強く、歩行や排尿などに支障が出る場合には、手術も検討されます。

      Q3. リハビリでどんな効果が期待できますか?
      A. 脊柱管まわりの柔軟性や血流を改善し、神経の滑走性を保つことで、痛みやしびれの軽減が期待できます。あわせて体幹や下肢の筋力をつけ、歩行機能の維持を目指します。

      文責・監修 金田 卓也
    腰部脊柱管狭窄症

    仙腸関節障害

      概要

      腰の奥、骨盤の後ろにある「仙腸関節」に炎症や不安定性が起こり、腰やお尻の痛みを引き起こします。
      レントゲンで異常が見つかりにくく、見逃されやすい腰痛の原因のひとつです。妊娠・出産後の女性や、片脚に重心がかかる動作が多い人に見られます。

      主な症状

      腰の片側~お尻にかけての鈍い痛み
      長時間立っていたり歩くと痛みが増す
      座っていると違和感やしびれが出る
      腰をひねると痛みが強くなる

      治療方法

      仙腸関節周囲へのエコーガイド下ハイドロリリース(筋膜リリース)や、関節を安定化させる骨盤周囲の筋力トレーニングが中心となります。
      産後の骨盤の緩みをケアするリハビリや、姿勢改善指導も大切です。

      よくあるご質問

      Q1. レントゲンでは異常がないと言われましたが、腰の片側がずっと痛いです。
      A. 仙腸関節障害は、画像では分かりにくいことが多く、見逃されやすい腰痛のひとつです。触診やエコーなどで評価し、適切な治療につなげます。

      Q2. どんな人に多いのですか?
      A. 妊娠・出産後の女性や、片脚に重心がかかるような仕事・姿勢が多い方に見られます。骨盤のゆがみや不安定性が関係することが多いです。

      Q3. リハビリではどんなことをするのですか?
      A. 骨盤まわりの筋肉を鍛えて関節を安定させ、再発しにくい状態をつくります。また、立ち方や歩き方などの姿勢指導も重要な治療の一部です。

      文責・監修 金田 卓也
    仙腸関節障害

    圧迫骨折(高齢者に多い)

      概要

      骨粗しょう症などにより骨が弱くなった状態で、転倒や重いものを持ち上げた際に背骨(腰椎)が潰れるように骨折することを指します。
      特に女性の高齢者に多く、痛みの訴えがないまま身長が縮む、背中が丸くなることで気づかれることもあります。

      主な症状

      急な腰の痛み(寝返りや起き上がりで強く痛む)
      背筋が曲がってきた
      背中を押すとピンポイントに痛い
      身長が縮んできた

      治療方法

      圧迫骨折が疑われる場合はX線やMRIで評価します。安静・コルセット固定・鎮痛薬のほか骨粗しょう症の治療(テリパラチド、イベニティなど)を行います。必要に応じて、整形外科専門病院にてBKP(経皮的椎体形成術)といった手術治療を行う場合もあります。

      よくあるご質問

      Q1. 転んでから背中が痛いのですが、骨折でしょうか?
      A. 高齢の方や骨粗しょう症のある方では、軽い転倒でも背骨が潰れるように折れてしまう「圧迫骨折」が起こることがあります。X線やMRIで確認が必要です。

      Q2. 背中が曲がってきたのですが、年齢のせいですか?
      A. 圧迫骨折を繰り返していると、身長が縮んだり背中が丸くなることがあります。痛みがなくても骨折しているケースもあるため、気になる方は一度ご相談ください。

      Q3. 骨折していたら入院しなければいけませんか?
      A. 骨折の程度によりますが、多くはコルセットで固定しながら外来で治療できます。強い痛みが続く場合は、手術(BKPなど)を行うこともあります。

      文責・監修 金田 卓也
    圧迫骨折

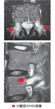
    腰椎分離症(成長期の腰痛)

      概要

      スポーツによる繰り返しの負担で、成長期の腰椎(背骨)の一部が疲労骨折を起こし、骨が分離する状態です。
      10〜18歳ごろの運動をするお子さんに多く、特に野球・体操・サッカーなど腰を反らす・ひねる動作が多い競技に関連しています。

      主な症状

      運動時の腰の痛み(特に反らすと痛む)
      休むと軽快するが、再開すると再発する
      放置すると腰椎すべり症など将来の腰痛につながることも

      治療方法

      診断にはX線・MRI・CTを用いて、疲労骨折の有無や進行度を評価します。
      初期の段階であれば、骨の癒合を目指しながら、コルセット固定やリハビリを行い、痛みや動作の改善を図ります。
      当院では、お子さまの大会や目標を考慮しながら、無理のない範囲で競技と治療の両立を目指しています。
      「スポーツをやめなければならないのでは」という不安に対しても、ご本人やご家族と相談しながら最適な治療方針を一緒に考えていきます。

      よくあるご質問

      Q1. 子どもが腰を痛がっています。成長期の腰痛も病院に行くべきですか?
      A. はい。成長期の腰痛は、疲労骨折(分離症)の可能性があります。早期に発見し、治療を始めることで骨がしっかり癒合する

      Q2. スポーツはやめなければなりませんか?
      A. 無理な練習は避ける必要がありますが、症状や骨の状態に応じて、段階的に競技復帰を目指します。当院では、お子さんの目標や大会スケジュールも考慮しながらサポートしています。

      Q3. どんな検査で分かりますか?
      A. X線やMRI、必要に応じてCTで分離の有無や骨の状態を詳しく調べます。骨の癒合が期待できる時期に適切な対応をすることが大切です。

      文責・監修 金田 卓也
    圧迫骨折

    症状をお選びください

  • 首の症状・疾患(頚椎・頚部)
  • 肩の症状・疾患(肩関節)
  • 肘の症状・疾患(肘関節)
  • 手・手首・指の症状・疾患
  • 腰の症状・疾患(腰椎)
  • 股関節の症状・疾患
  • 膝の症状・疾患(膝関節)
  • 足の症状・疾患
  • 骨粗鬆症
  • スポーツ整形・スポーツ障害
  • 産前産後リハビリテーション
  • ハイドロリリース(筋膜リリース)治療法
  • 再生医療
  • 体外衝撃波治療
  • 整形外科
  • 内科
  • 循環器内科
  • 皮膚科
  • ページ上へ

  • インターネット予約